くすのき診療所

 〒164-0011 東京都中野区中央2-7-8-103 ☎ 03-3361-0072 fax 03-3361-0072

 
  
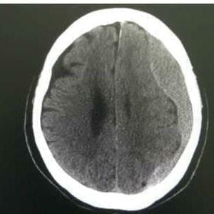
慢性硬膜下血腫

慢性硬膜下血腫

頭痛外来

頭痛にはいわゆる慢性頭痛と命の危険を伴う頭痛があります。命の危険が伴う頭痛の原因はくも膜下出血、脳出血、慢性硬膜下出血などがあります。慢性型頭痛には緊張型頭痛、片頭痛、群発頭痛があり症状、治療法が異なります。
 慢性型頭痛の種類
 緊張型頭痛:この頭痛は、圧迫感または締め付け感の症状が出てきます。頭部両側に感じられます。また、後頭部だけに現れることもあります。肩こりを伴うことが多く、1日中パソコンで仕事をしている人に多くみられます。
 片頭痛:片頭痛は頭部の片側に現れ、拍動性で4〜72時間位持続します。悪心、嘔吐を伴うことが多く、前兆として閃輝暗点(ギザギザ像、キラキラした点)を伴う場合とそうでないものがあります。
 群発頭痛:一定期間連日頭痛を生ずる時期(群発期)があり、1〜2ヶ月続く場合があり、その後全く頭痛のない一定期間(寛解期)があるのが特徴です。群発期は就寝後1〜2時間で起こることが多く発作持続時間は60分程度続くことがあります。群発頭痛は、眼窩部を中心に前頭部、側頭部に生じ、痛みは激しくドリルで眼の奧をえぐられるように感じることがあります。頭痛側には流涙、充血、鼻閉などを伴います。
 
 頭が痛いといっても、種類はいろいろです。おっくうがらずに診療所を受診することをお勧めします。